مرکز تخصصی ايمپلنت ، ارتودنسى و لامینت های زیبایی
معرفى بهترين درمان های پیشرفته ارتودنسی توسط ارتودنتیست ( متخصص ارتودنسی ) در تهران
درمانهای ایمپلنت با تکنیک بدون جراحی وبدون درد در چند دقیقه
اصلاح طرح لبخند با لامینتهای زیبایی
ارتودنتيست با بورد تخصصی ارتودنسی و فک وزیبایی
فلوشیپ ایمپلنت از فرانسه

مطالب مفید در موردایمپلنت و ارتودنسی
blog.php لطفا کلیک کنید
دکتر رامین جعفرزاده جراح- دندانپزشک و
متخصص ارتودنسی دارای بورد تخصصی
ارتودنسى و ناهنجارهاى فك

- AAO عضو انجمن ارتودنسي امريكا
- WFO عضو آكادمى ارتودنتيستهاى جهان
- ايمپلنتولوژيست از فرانسه
- ICOI عضو كنگره ايمپلنتولوژيستهاى جهان
- برای مشاوره میتوانید با تلفن یا ایمیل تماس بگیرید
- Call or send e mail to Dr R.Jafarzadeh
- http://www.ortodensi.com
- raminjafarzadeh@hotmail.com
- Tel. 00982188553637------00989026666468
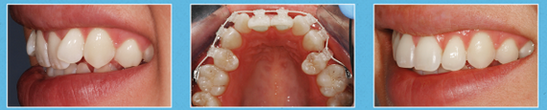
جهت مشاهده موارد بیماران قبل و بعد از عمل در ستون مقابل روی گزینه مربوطه کلیک کنید شاید مطالب موجود پاسخ بعضی از سوالاتتان باشد
فقط در٤ تا ٦ ماه و بدون درد
درمان ناهنجاريهاى فك و دردمفصل
درمان ارتودنسى ثابت و متحرك
Demon باسيستمهاى پيشرفته
اصلاح ديده شدن بيش از حد لثه ها
اصلاح طرح لبخند با الكترو سرجری بوتاكس و لامينت های زيبايى پرسلن ، زيركونيا و كمپوزيتى
Full hollywood smile
ايمپلنت هاى فرانسوى و امريكايى بدون جراحى و بخيه
بیشتر مراجعین کلینیک ارتودنسی از دیده شدن بیش از حد لثه در حین خنده عمیق رضایت ندارند و اغلب بیان میکنند که هرگز از خنده خو د لذت نمیبرند به عبارتی خنده
خود را تا حد ممکن کنترل میکنند یا بادست خود جلوی دها ن خود را میگیرند تا بیننده متوجه قرمز ی لثه های او نشود.از نکته
نظر زیبایی فقط 2 میلیمتر از لثه در خنده عمیق در خانمها زیباست و بیش از این را خنده گوشتی و لثه ای یا باصطلاح گامی سمایل میگویند شما میتوانید با مشاوره با متخصص زیبایی ای مشکل را رفع کنید و یا به حداقل برسانید .معمولا ای ن مشکل به چند دلیل ایجاد میشود که ممکن است یک یا چند دلیل عام ل ان باشد جلو بود ن و افتادگی فک بالا کوتاهی لب بالا کوتاهی دندانها ی بالا ورم لثه تنفس دهانی لاغری بیش از حد بافت صور ت و بیش فعالی عضلات مربوط به خنده میتواند عامل ان باشد که هر کدام راه حل خاص خود را میطلبد مشاوره با متخصص مربوطه میتواند نعمت خنده از ته دل را به شما باز گرداند

